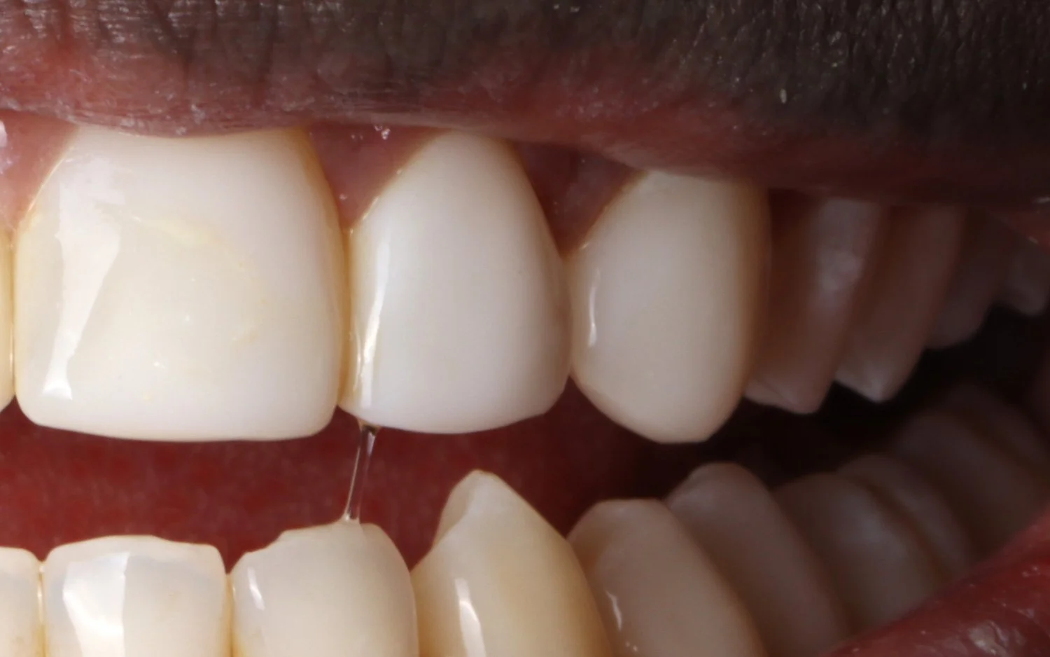
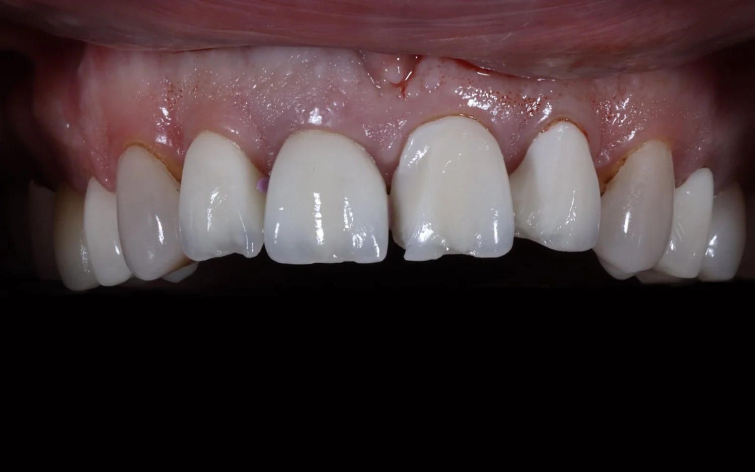
Chairside Composite Bonding
A patient came in with an aging composite filling that did not match their natural tooth. Instead of recommending a veneer, which would’ve meant removing healthy tooth structure, Dr. Freking chose a more conservative, artistic approach: chairside composite bonding.
